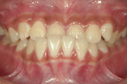
| 主訴: | 前歯の凸凹 | 
| 診断名: | 叢生(I級叢生不正) | 
| 初診時年齢: | 27歳9ヶ月 | 
| 装置名: | マルチブラケット装置(審美性ブラケット) | 
| 抜歯非抜歯: | 上顎両側第1小臼歯下顎両側第2小臼歯抜歯(計4本) | 
| 治療期間: | 1年8ヶ月(動的治療期間:歯を動かす治療期間) | 
| 治療費: | 矯正装置料¥700,000-+検査診断料、処置調整料など(別途消費税) | 
| リスク副作用等: | 上記治療の後、保定治療(歯を安定させる治療)が約2年必要です。セルフケアとして保定治療終了後も保定装置を適宜使用する事をお勧めしています。 | 
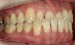
| 主訴: | 出っ歯が気になる | 
| 診断名: | 上顎前突 | 
| 初診時年齢: | 23歳5ヶ月 | 
| 装置名: | マルチブラケット装置(審美性ブラケット)+ヘッドギア | 
| 抜歯非抜歯: | 上顎両側第1小臼歯下顎両側第2小臼歯抜歯(計4本) | 
| 治療期間: | 1年10ヶ月(動的治療期間:歯を動かす治療期間) | 
| 治療費: | 矯正装置料¥700,000-+検査診断料、処置調整料など(別途消費税) | 
| リスク副作用等: | 取り外し可能なヘッドギアを在宅時(就寝時を含め)に使用しました。使用が不充分な場合出っ歯が治りきらないことがります。ヘッドギアに代わり矯正用インプラントを使用することもあります。上記治療の後、保定治療(歯を安定させる治療)が約2年必要です。セルフケアとして保定治療終了後も保定装置を適宜使用する事をお勧めしています。 | 
| 主訴: | 反対咬合 | 
| 診断名: | 骨格性反対咬合 | 
| 初診時年齢: | 30歳4ヶ月 | 
| 装置名: | マルチブラケット装置(審美性ブラケット) | 
| 抜歯非抜歯: | 非抜歯 | 
| 治療期間: | 1年10ヶ月(動的治療期間:歯を動かす治療期間) | 
| 治療費: | 矯正装置料¥700,000-+検査診断料、処置調整料など(別途消費税) | 
| リスク副作用等: | 下顎前歯部のDisking(歯と歯の間を少し削る)。上記治療の後、保定治療(歯を安定させる治療)が約2年必要です。セルフケアとして保定治療終了後も保定装置を適宜使用する事をお勧めしています。 | 
 
| 
 
| 叢生(八重歯) |   
|  |  | 主訴:歯の凸凹 初診時年齢:23歳9ヶ月
 診断名:I級叢生不正咬合
 治療期間:1年5ヶ月(動的治療期間:歯を動かす治療期間)
 More
 |  | 
 
| 上顎前突、正中離開 |   
|  |  | 主訴:前歯のすきっ歯と出っ歯 初診時年齢:26歳0ヶ月
 診断名:正中離解を伴う上顎前突
 治療期間:1年9ヶ月(動的治療期間:歯を動かす治療期間)
 More
 |  | 
 
| 空隙歯列(すきっ歯) |   
|  |  | 主訴:上下前歯の隙間が気になる 初診時年齢:19歳5ヶ月
 診断名:空隙歯列を伴う骨格性反対咬合
 治療期間:1年9ヶ月(動的治療期間:歯を動かす治療期間)
 More
 |  | 
 
| 
 
| 叢生 |   
|  |  | 主訴:出っ歯と歯の凸凹が気になる 初診時年齢:23歳11ヶ月
 診断名:I級叢生不正咬合
 治療期間:1年9ケ月(動的治療期間:歯を動かす治療期間)
 More
 |  | 
 
| 反対咬合(混合歯列期) |   
|  |  | 主訴:受け口が気になる 初診時年齢:10歳4ヶ月
 診断名:骨格性反対咬合
 治療期間:10ヶ月(動的治療期間:歯を動かす治療期間)
 More
 |  | 
 
| 叢生(八重歯) |   
|  |  | 主訴:前歯の凸凹が気になる(過去に矯正治療をしたが保定装置を使えなかった) 初診時年齢:25歳3ヶ月
 診断名:II級叢生不正咬合(矯正治療既往あり)
 治療期間:1年6ケ月(動的治療期間:歯を動かす治療期間)
 More
 |  | 
 
| 
 
| 叢生(八重歯) |   
|  |  | 主訴:歯の凸凹が気になる 初診時年齢:26歳5ヶ月
 診断名:I級叢生不正咬合
 治療期間:1年10ケ月(動的治療期間:歯を動かす治療期間)
 More
 |  | 
 
| 叢生 |   
|  |  | 主訴:歯並びがずれて凸凹になって来た事と噛みしめると下の前歯が痛い 初診時年齢:34歳0ヶ月
 診断名:I級叢生不正咬合(上顎左側第1大臼歯保存不可能)
 治療期間:1年6ケ月(動的治療期間:歯を動かす治療期間)
 More
 |  | 
 
| 叢生(八重歯) |   
|  |  | 主訴:前歯の凸凹(八重歯)が気になる 初診時年齢:37歳7ヶ月
 診断名:I級叢生不正咬合
 治療期間:1年9ケ月(動的治療期間:歯を動かす治療期間)
 More
 |  | 
 
| 
 
| 先天性欠損による空隙歯列 |   
|  |  | 主訴:前歯が足りないことによるすきっ歯が気になる 初診時年齢:25歳1ヶ月
 診断名:上顎両側側切歯先天性欠損を伴うI級叢生不正咬合
 治療期間:2年8ケ月(動的治療期間:歯を動かす治療期間)
 More
 |  | 
 
| 叢生、開咬、鋏状咬合 |   
|  |  | 主訴:前歯の凸凹と奥歯がかみ合わない事が気になる 初診時年齢:38歳7ヶ月
 診断名:両側臼歯部鋏状咬合および開咬を伴うI級叢生不正咬合
 治療期間:2年1ケ月(動的治療期間:歯を動かす治療期間)
 More
 |  | 
 
| 上顎前突 |   
|  |  | 主訴:出っ歯が気になる 初診時年齢:13歳5ヶ月
 診断名:過蓋咬合を伴う上顎前突
 治療期間:2年3ヶ月(動的治療期間:歯を動かす治療期間)
 More
 |  | 
 
| 
 
| 先天性欠損(歯の数が不足) |   
|  |  | 主訴:前歯が足りない事と受け口っぽい 初診時年齢:14歳8ヶ月
 診断名:上顎左側側切歯先天性欠損を伴うIII級叢生不正咬合
 治療期間:1年5ケ月(動的治療期間:歯を動かす治療期間)
 More
 |  | 
 
| 叢生(八重歯) |   
|  |  | 主訴:前歯の凸凹(八重歯)が気になる 初診時年齢:33歳2ヶ月
 診断名:I級叢生不正咬合
 治療期間:1年6ケ月(動的治療期間:歯を動かす治療期間)
 More
 |  | 
 
| 開咬(前歯がかみ合わない) |   
|  |  | 主訴:前歯がかみ合わない 初診時年齢:25歳2ヶ月
 診断名:開咬を伴うI級不正咬合
 治療期間:2年8ヶ月(動的治療期間:歯を動かす治療期間)
 More
 |  |